![]() |
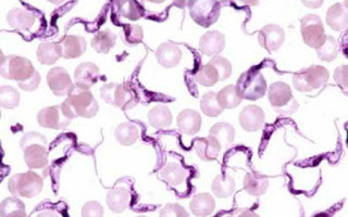
| Surra, penyakit parasit disebabkan agen Trypanosoma evansi (disnakkeswanjateng) |
Para peneliti muda Balai Besar Penelitian
Veteriner (Badan Penelitian dan Pengembangan Pertanian) diantaranya April Hari
Wardhana SKH MSi Ph.D, Hasim Munawar Ssi Mphil dan tim mengembangkan aplikasi
biosensor untuk diagnosis penyakit parasitik.
Dalam karya ilmiahnya, April dan kawan-kawan
menyoroti Trypanosoma evansi masih
menjadi penyebab utama penyakit trypanosomiasis di Indonesia, yang dikenal
dengan nama Surra.
Menurut April, kelemahan dalam mendiagnosa
yang tepat dari Card Agglutination Test
for Trypanosomiasis/T. evansi
(CATT/T. evansi), ELISA, dan PCR menyebabkan pengendalian Surra di lapang masih
menghadapi kendala. Untuk itu, diperlukan alternatif piranti diagnosis yang
cepat, akurat dan mudah diaplikasikan, yaitu biosensor.
Surra yang disebabkan oleh Trypanosoma evansi masih menjadi
permasalahan utama pada ternak, bahkan akhir-akhir ini cenderung menular ke
manusia (Zoonosis)
Hasil penelitian ini menunjukkan bahwa
biosensor Surra/T. evansi berbasis
protein merupakan piranti yang menjanjikan untuk dikembangkan dalam mendeteksi
Surra pada ternak. (Rilis/INF)


0 Comments:
Posting Komentar